Skip to content
  • Envie sua notícia
  • Fale Conosco
  • Sobre Nós
23 de abril de 2026
Jornal dos Municípios

Jornal dos Municípios

Principais notícias de Caucaia, Grande Jurema, Fortaleza, Maracanaú, Sobral, Ceará, Brasil e do Mundo. Últimas notícias dos municípios cearenses. O primeiro portal de notícias de Caucaia que tem como compromisso divulgar informações úteis.

  • Início
  • Notícias
    • Polícia
    • Educação
    • Política
    • Nacional
    • Internacional
  • Municípios
    • Caucaia
    • Fortaleza
    • Maracanaú
    • Juazeiro do Norte
    • Pacatuba
    • Quixadá
    • Ver mais
  • Oportunidades
  • Esporte
  • Entretenimento
    • Tecnologia
    • Games
    • Moda
    • Música
      • Shows Musicais
    • Televisão
    • Cinema
    • Ufologia
  • Fale Conosco
  • Fortaleza
  • Municípios

Funceme prevê chuva no período de Carnaval, mas temperaturas chegam a 37°C

Segundo as análises, entre o sábado e a terça-feira, em todas as regiões do Estado haveráLer mais

  • Educação

Veja o que funciona no período de Carnaval

O Carnaval começa neste sábado (14) e se estende até a Quarta-feira de Cinzas (18). Saiba,Ler mais

  • Empregos
  • Fortaleza
  • Maracanaú
  • Municípios

Sine/IDT oferta mais de 1,9 mil vagas de trabalho em 12 municípios cearenses

Mais de 1,9 mil vagas são ofertadas nesta semana, em unidades do Sine/IDT distribuídas em 12Ler mais

  • Municípios
  • Nacional

Ministério da Fazenda desmente boato sobre confisco da poupança

De acordo com o comunicado, “não procedem as informações que estariam circulando pela mídia social deLer mais

  • Internacional
  • Nacional

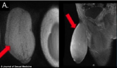
Jovem de 17 anos é submetido à primeira cirurgia para diminuir pênis do mundo

Um adolescente de 17 anos chamou atenção na Internet e no mundo médico nos últimos dias.Ler mais

Notícias da Sua Região
Municípios Populares:
Mais Lidas
  1. 1 Minha Casa Minha Vida passa a operar com novas regras e amplia acesso ao crédito imobiliário
  2. 2 PT propõe reduzir juros e conter apostas para frear endividamento
  3. 3 Ceará tem 31 açudes sangrando após fortes chuvas em 2026
  4. 4 Fortaleza vence o CRB e abre vantagem na Copa do Brasil
  5. 5 Vereadora de Ubajara repercute nas redes após gesto em sessão da Câmara; veja vídeo

PUBLICIDADE

© 2025 Jornal dos Municípios. Todos os direitos reservados.
Gerenciado por Serton Softwares
 

Carregando comentários...